Saltar al contenido
14 abril, 2026
  • Facebook
  • Twitter
  • Linkedin
  • Youtube
  • Instagram
Audio y Voces

Audio y Voces

Informacion las 24/7

Menú principal
  • Locales
  • Cultura
  • Deporte
  • Internacionales
  • Nacionales
  • Radio En Vivo
Botón claro/oscuro
  • Internacionales

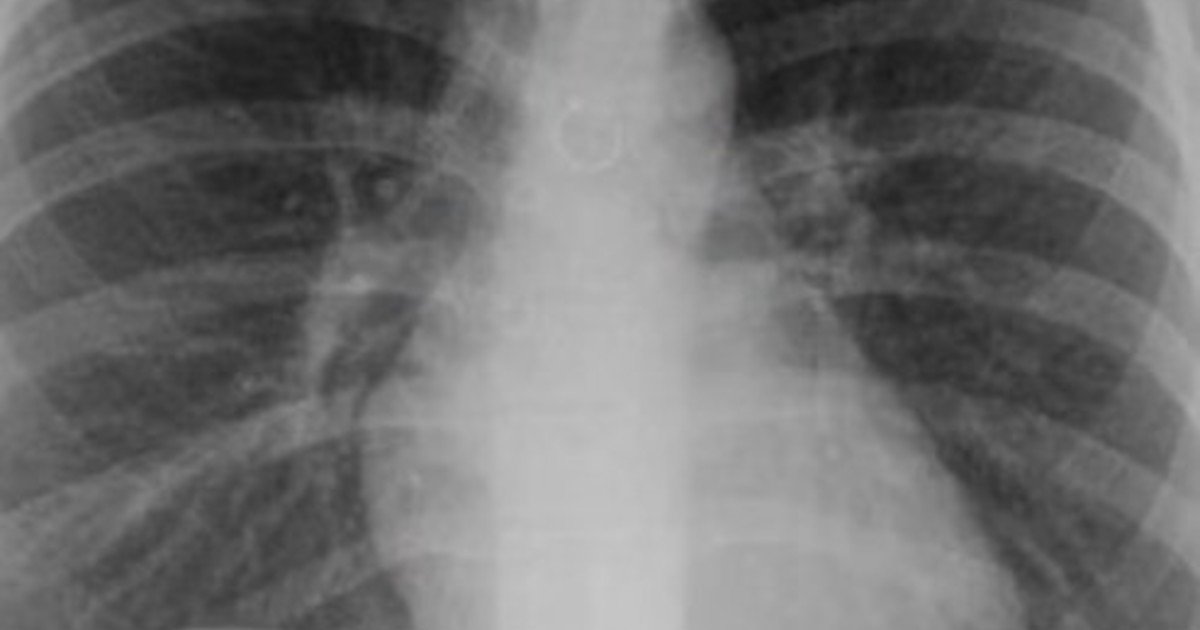
Empezó a toser y un mes después descubrió que tenía un piercing nasal en uno de sus pulmones: «Los médicos estaban impactados»

c2560435 7 April, 2026
  • Una joven reveló una impactante experiencia personal vinculada a un problema de salud.
 
    

Post navigation

Anterior Publicación anterior:

El clítoris era más complejo de lo que se creía: revelan el mapa más detallado hasta ahora

Próximo Siguiente publicación:

El oficialismo convoca a una sesión en el Senado para apurar los pliegos de jueces y fiscales propuestos por Milei

  • Locales
  • Cultura
  • Deporte
  • Internacionales
  • Nacionales
  • Radio En Vivo
  • Facebook
  • Twitter
  • Linkedin
  • Youtube
  • Instagram
Copyright © Todos los derechos reservados | BroadNews por AF themes.

WhatsApp